ALMA Dental Clinic Logo | in Dubai specializes in smile makeovers and Digital Smile Design for precise, advanced, confident smile transformations.
  • Home
  • About Us
  • Services
    • Specialized Dental Treatments
      • Dental Emergencies
      • Toothache Relief
      • Dental Surgery
      • Dental Implants
      • Maxillofacial Surgery
      • Orthodontics
      • Pediatric Dentist in Dubai
      • Tooth Extraction
      • Teeth Correction Braces
      • Tooth Crown
      • Teeth whitening
      • Root Canal
    • Aesthetic Dentistry
      • Feldspathic Veneers
      • Cosmetic Dentistry in Dubai
      • Dental Veneers 3D Dubai
      • Gum Contouring Dubai
      • Hollywood Smile Dubai
      • Internal Bleaching
      • Invisalign in Dubai
      • Laser Gum Depigmentation
      • Teeth Whitening Dubai
      • Teeth Laser Contouring
      • Teeth Straightening in Dubai
    • Gynaecology
      • Vaginoplasty
      • Labiaplasty
      • Labia Majora Augmentation
      • Perineoplasty
  • Our Doctors
  • Gallery
  • Careers
  • Blogs
  • Contact Us
ALMA Dental Clinic Logo | in Dubai specializes in smile makeovers and Digital Smile Design for precise, advanced, confident smile transformations.
  • Home
  • About Us
  • Services
  • Our Doctors
  • Blogs
  • Gallery
  • Contact Us
Tooth Crown

Home Aesthetic Dentistry Tooth Crown

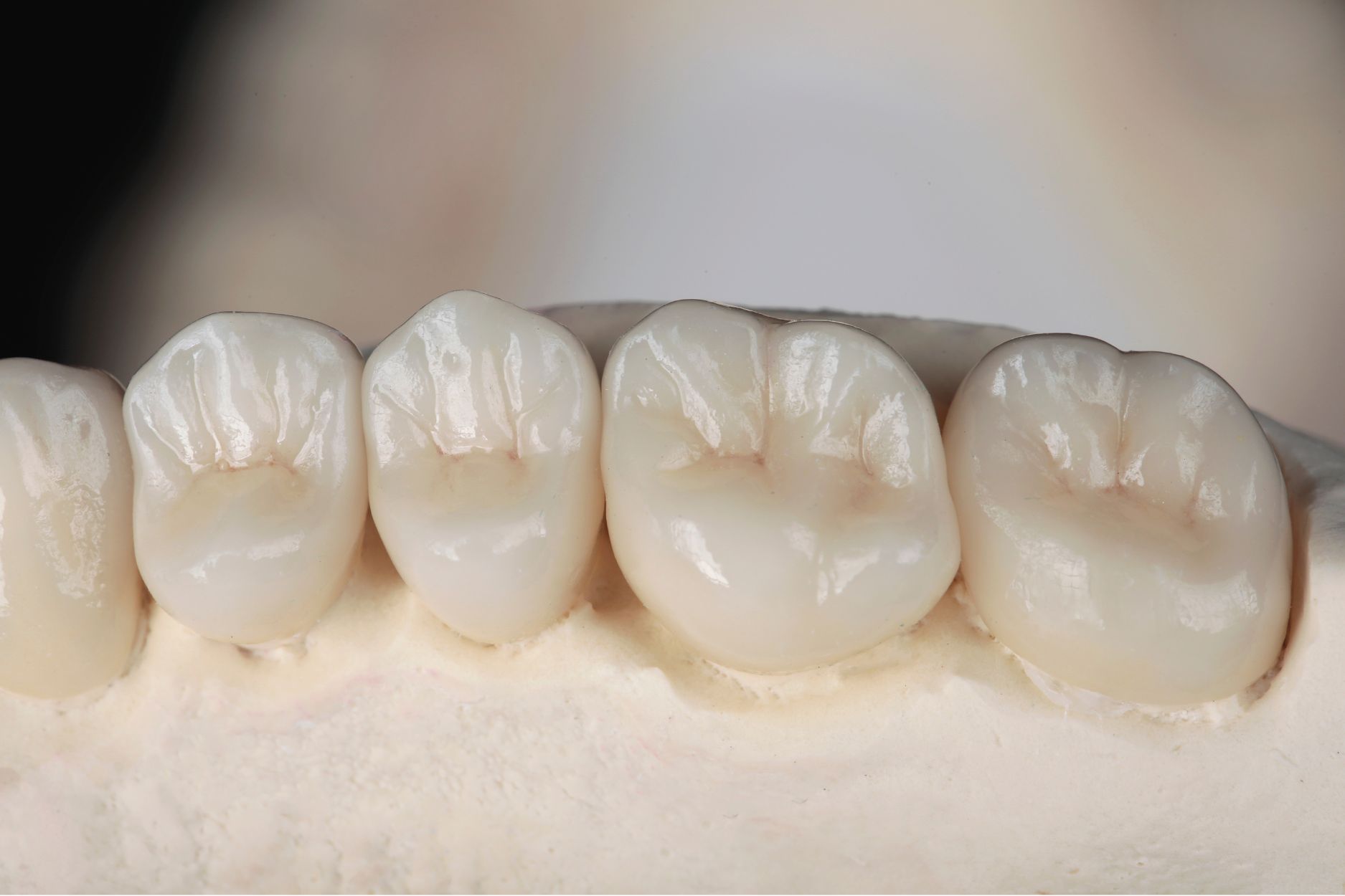
Dental Crown Services in Dubai

 

What is a Dental Crown

A Tooth crown, often referred to as a tooth crown, is a dental restoration that covers or caps a damaged or decayed tooth. It is used to restore the tooth’s shape, size, strength, and appearance while improving its overall function. Dental crowns are commonly made from various materials, including porcelain, ceramic, metal alloys, or a combination of these materials.

Dental crowns are a cosmetic dental treatment that can be a suitable replacement for your teeth.

If the tooth is damaged, such as decay, a Tooth crown can protect the weakened tooth from further damage or breakage. Also, in cases where the tooth is seriously destroyed or damaged, a crown can restore the shape, size, and strength of the tooth and improve its natural function.

Who is Dental Crown Suitable For?

  • Damaged Teeth: To fix decayed or broken teeth.
  • Large Fillings: Cover teeth with big fillings.
  • Cosmetic Fixes: Improve the appearance of misshapen or discolored teeth.
  • After Root Canals: Strengthen teeth after root canal treatment.
  • Replacing Missing Teeth: Cover dental implants or support bridges.
  • Kids’ Teeth: Repair severely damaged baby teeth.
  • Chewing Help: Restore biting and chewing function.
Dr. Joy

Dr. Joy

General & Cosmetic Dentistry

Call Now Book An Appointment

Excellent

Based on 245 Reviews

nitesh ghallot

22/05/2025

So impressed with Alma! My recent visit was excellent. Dr. Tamara was not only very kind and welcoming but also incredibly efficient, getting the job done seamlessly. A truly positive dental experience. Not yo forget, with a friendly staff!

Abdul Razzagh Aljaberi

03/05/2025

I had a wonderful experience at Alma Polyclinic The entire team is extremely professional with high technology, kind and welcoming. The moment you walk in you feel taken care of. The doctors are highly knowledgeable and take the time to explain everything clearly ensuring i feel comfortable and informed.The clinic itself is clean modern and very well organized. Highly recommende Alma Polyclinic to any one looking for top quality medical care in Dubai and Special thanks to receptionist for their efficiency and warm hospitality i did cleaning and whitening and I'm super happy with result

sadaf jazayeri

19/04/2025

‏I’ve been in Alma polyclinic so many times and each time was a great experience. You have everything you need, awesome and friendly atmosfere in addition to specialized and experienced doctors and team. I believe Dear Dr. Homa is number one in the field of Cosmetic Dentistry and I do appreciate her.

Nastaran88 Araghi

13/03/2025

I am very happy to have met one of the best dentists in the world and I owe my beautiful smile to him. Thank you, Dear Dr. Homa, I wish you good health.🌸🤍

BaNAFSHEh RABIEI

12/02/2025

Very good amazing 🙏

Betina Sepehri

18/01/2025

I am very happy with Alma clinic , very friendly environment , amazing doctors . I really recommend Alma clinic to everyone .

Jerry G.T

17/01/2025

I couldn't have asked for anything more from Dr.Tamara. I don't usually enjoy visiting a dentist but Dr.Tamara was extremely sweet and patient with me; she guided me through the process of my procedure. I highly recommend this clinic and that you consult her!

Mohamed Saffar

16/01/2025

I had a fantastic experience with this dental office! The entire staff is experienced, friendly, and truly puts patients at ease. Booking online was incredibly simple, and the front desk team went above and beyond to make the process seamless. The doctors are not only exceptionally knowledgeable but also warm and approachable, taking the time to explain everything clearly. The technicians are equally professional, kind, and attentive, ensuring every step of the visit is comfortable. I highly recommend this practice to anyone looking for top-notch dental care!

Jerry G.T

15/01/2025

I couldn't have asked for anything more from Dr.Tamara. I don't usually enjoy visiting a dentist but Dr.Tamara was extremely sweet and patient with me; she guided me through the process of my procedure. I highly recommend this clinic and that you consult her!

Mohamed Saffar

14/01/2025

I had a fantastic experience with this dental office! The entire staff is experienced, friendly, and truly puts patients at ease. Booking online was incredibly simple, and the front desk team went above and beyond to make the process seamless. The doctors are not only exceptionally knowledgeable but also warm and approachable, taking the time to explain everything clearly. The technicians are equally professional, kind, and attentive, ensuring every step of the visit is comfortable. I highly recommend this practice to anyone looking for top-notch dental care!

Fataneh Agah

08/01/2025

Amazing

Dubai Diva

08/01/2025

Amazing and respectful staff, wonder doctor ( Dr Maryam)

Mehrdad Poursafavi

31/12/2024

مدیریت حرفه ای ، پرسنل کاربلد و دلسوز و از انتخاب کلینیک شما رضایت کامل دارم

Betina Sepehri

22/01/2025

I am very happy with Alma clinic , very friendly environment , amazing doctors . I really recommend Alma clinic to everyone .

James Mackay

01/03/2025

Best service provided by dr. Tamara

nitesh ghallot

24/05/2025

So impressed with Alma! My recent visit was excellent. Dr. Tamara was not only very kind and welcoming but also incredibly efficient, getting the job done seamlessly. A truly positive dental experience. Not yo forget, with a friendly staff!

sadaf jazayeri

24/04/2025

‏I’ve been in Alma polyclinic so many times and each time was a great experience. You have everything you need, awesome and friendly atmosfere in addition to specialized and experienced doctors and team. I believe Dear Dr. Homa is number one in the field of Cosmetic Dentistry and I do appreciate her.

Nastaran88 Araghi

24/04/2025

I am very happy to have met one of the best dentists in the world and I owe my beautiful smile to him. Thank you, Dear Dr. Homa, I wish you good health.🌸🤍

Hawra Abbas

15/07/2025

I’ve been visiting Dr. Maryam for my gynecological care, and I can confidently say she is the best doctor I’ve ever had. She is not only incredibly smart and knowledgeable, but also kind, understanding, and always takes the time to listen and explain everything clearly. Her care has made a huge difference in my health and peace of mind. I truly trust her with everything, and I honestly can’t imagine ever going to another gynecologist. She’s one of a kind! Thank you, Dr.Maryam, for your dedication and the exceptional care you provide. I hight recommend to visit the clinic if you need any help in for gynecology.

Clinic Working Hours

Monday to Friday
8:30 am - 7:30 pm
Saturday
9:30 am - 2:30 pm
Sunday
Closed

Book Your Appointment Today

Your health is our priority.

Easily schedule your visit with our expert doctors across multiple specialties. Whether it's a routine check-up or a specific concern, we're here to provide the care you need — when you need it.

Book an Appointment

What Are The Benefits of a Tooth Crown?

Among the benefits of artificial tooth crowns, the following can be mentioned:

  • Protection: Placing an artificial crown on a damaged or weakened tooth can protect it against further decay or fracture.
  • Beauty: By using an artificial tooth crown or cover, you can cover the change in color and shape or the irregularity of the teeth and improve the appearance of your smile.
  • Durability: With proper maintenance and care, you can extend the life of a veneer for many years and look at it as a long-term investment in oral health.
  • Performance: By installing dental crowns, you can restore the function of damaged or fallen teeth and restore your comfort and confidence in chewing and speaking.
Book An Appointment
  • When the teeth are destroyed or damaged.
  • To cover major repairs.
  • To improve the appearance of teeth.
  • After performing a root canal, the teeth are strengthened.
  • Replacing missing teeth with implants.
  • When you need supporting teeth for a dental bridge.
  • In cases where children’s teeth are damaged.
  • To improve the function of chewing and eating.

When Should We Apply For Dental Crowns?

  • When the teeth are destroyed or damaged.
  • To cover major repairs.
  • To improve the appearance of teeth.
  • After performing a root canal to increase the strength of the teeth.
  • Replacing missing teeth with implants.
  • When you need supporting teeth for a dental bridge.
  • In cases where children’s teeth are damaged.
  • To improve the function of chewing and eating.
Book An Appointment

There Are Several Types of Dental Crowns

  • Porcelain/Ceramic tooth Crowns: Look natural, great for front teeth.
  • Metal Crowns: Strong, used for back teeth.
  • Porcelain-Fused-to-Metal (PFM) Crowns: A mix of metal strength and porcelain appearance.
  • All-Ceramic or All-Porcelain dental Crowns:Very natural look, good for visible teeth.
  • Zirconia teeth Crowns: Strong and durable, often for molars.
  • E-max Crowns: Strong and aesthetic, for both front and back teeth.
  • Temporary dental Crowns: Short-term protection while waiting for a permanent crown.
  • Gold Crowns: Durable, with a distinct gold color.
  • Composite Crowns: Tooth-colored, sometimes used temporarily.
  • Resin Crowns: Cost-effective, used for back teeth.

Uses of Dental Crowns:

Dental crowns may be necessary in the following situations:

  1. Protecting Weakened Teeth: To protect a weakened tooth, such as one that is susceptible to decay, from breaking or preserving portions of a cracked tooth.
  2. Restoring Damaged Teeth: To restore a previously broken or severely worn-down tooth.
  3. Supporting Filled Teeth: To cover and support a tooth that has been extensively filled when there isn’t much of the natural tooth left.
  4. Holding Dental Bridges: To anchor and support dental bridges in place.
  5. Improving Aesthetics: For cosmetic purposes, to cover teeth that have lost their natural shape or have severe discoloration.
  6. Covering Dental Implants: To cover dental implants.
  7. Enhancing Appearance: For cosmetic and aesthetic reasons.

Dental Crown &Tooth Cap - Procedure & Pricing

Dental crown and tooth cap services in Dubai involve a multi-step procedure designed to restore or enhance the appearance and functionality of damaged or decayed teeth.

  • Initially, the dentist reshapes the affected tooth to make room for the crown or cap.
  • A further step is then taken to custom-create the crown, matching the tooth’s shape and color.
  • A temporary crown may be placed while the permanent one is being made.
  • Once ready, the permanent crown is cemented onto the tooth.

The tooth cap price in Dubai varies based on material and clinic, offering options to fit different budgets while ensuring high-quality care.

Preventative Care Measures for Dental Crowns

Maintaining dental crowns and ensuring their longevity involves several preventative care measures, including:

Regular Oral Hygiene: Brushing twice a day with fluoride toothpaste and flossing daily to prevent plaque buildup around the crown.

Routine Dental Checkups: Visiting the dentist every six months for checkups and professional cleanings to monitor the condition of the crown and adjacent teeth.

Avoiding Hard Foods: Refrain from consuming hard foods and candies that can crack or chip the crown.

Limiting Stain-Inducing Substances: Minimizing consumption of coffee, tea, red wine, and tobacco to prevent staining on porcelain crowns.

Wearing a Mouthguard: Use a mouthguard during sports or if you grind your teeth at night to protect the crown from excessive force.

Not Using Teeth as Tools: Avoid using your teeth to open packages or bite nails, which can damage the crown.

By following these preventative care measures, people can maximize the lifespan of their dental crowns.

Dental Crown Procedure Details

Comparison of temporary and permanent dental crowns

Temporary crowns can be created in your dentist’s office, while most permanent crowns are created in a dental laboratory. Typically, temporary crowns are made of an acrylic or stainless steel material and can be used as a temporary restoration until a permanent crown can be fabricated by a laboratory.

Preparation of the tooth for the dental crown operation by the dentist

Tooth preparation for crown placement usually requires two sessions. The first stage includes the examination and preparation of the teeth, and the second visit includes the placement of the permanent crown.

Actions that are taken for dental crown placement in the first session

At the first appointment for crown preparation, your dentist may take some X-rays of your teeth to examine the root of the tooth receiving the crown and the surrounding bone. If the tooth has extensive decay or there is a risk of infection or damage to the dental pulp, you may first need root canal therapy to fix it.

Procedures before dental crown placement

Before starting the dental crown procedure, your dentist numbs the tooth and the surrounding gum tissue. In the next step, the tooth and its surface and edges that receive the crown are shaved to a certain size to provide space for the crown. The amount of cutting depends on the type of crown used. Alternatively, if a large portion of the tooth is missing (due to decay or trauma), your dentist will use restorative materials to “build” the tooth to support the crown.

Clinic Working Hours

Monday to Friday
08:30 am - 07:30 pm
Saturday
09:30 am - 02:30 pm
Sunday
Closed

Frequently Asked Questions

How long does a dental crown last

A dental crown typically lasts 10 to 15 years, but with good oral hygiene and regular dental check-ups, it can last even longer—sometimes up to 20 years or more. The lifespan also depends on the material used and your dental habits.

Is the procedure painful?

The installation of dental crown should not usually be painful, but there is a possibility of pain or sensitivity during or after the treatment.

Related Service

Root Canal

Advanced Endodontics Treatment in Dubai   Saving Your Natural Teeth...

  • Dr. Homa Shahakbari Dr. Homa Shahakbari
  • Dr. Marc Habib Dr. Marc Habib

Teeth whitening

Advanced Dental Cleaning Service in Dubai Best Teeth Cleaning in...

  • Dr. Homa Shahakbari Dr. Homa Shahakbari

Teeth Correction Braces

Best Teeth Correction Braces in Dubai Finding The Best Teeth...

  • Dr. Marjan Sanjarian Dr. Marjan Sanjarian
ALMA Dental Clinic Logo | in Dubai specializes in smile makeovers and Digital Smile Design for precise, advanced, confident smile transformations.

Welcome to Alma Polyclinic! Our dedicated team provides patients with comprehensive dental and gynecological services, ensuring optimal health and well-being.

Popular Services

  • Orthodontics
  • Pediatric Dentistry
  • Root Canal
  • Hollywood Smile
  • Dental Implants

Quick Links

  • About Us
  • Our Doctors
  • Blogs
  • Careers
  • Gallery
  • Contact Us

Get In Touch

  • +97142666227
  • almapolyclinic@gmail.com
  • Villa 1033 Al Wasl Road – Opposite Of Union Coop – Umm Suqeim, Dubai – United Arab Emirates

2026 Alma Polyclinic LLC. All rights reserved. SEO And Design By Hossein Kamrani

x

Book an Appointment

Appointment

x

Search Now

  • Aesthetic Dentistry
  • Specialized Dental Treatments
  • Gynaecology
    • Dental Veneers 3D Dubai

    • Teeth Straightening in Dubai

    • Teeth Laser Contouring

    • Teeth Whitening Dubai

    • Laser Gum Depigmentation

    • Invisalign in Dubai

    • Internal Bleaching

    • Hollywood Smile Dubai

    • Gum Contouring Dubai

    • Cosmetic Dentistry in Dubai

    • Feldspathic Veneers

    • Root Canal

    • Teeth whitening

    • Tooth Crown

    • Teeth Correction Braces

    • Tooth Extraction

    • Pediatric Dentist in Dubai

    • Orthodontics

    • Maxillofacial Surgery

    • Dental Implants

    • Dental Surgery

    • Toothache Relief

    • Dental Emergencies

    • Vaginoplasty

    • Labiaplasty

    • Labia Majora Augmentation

    • Perineoplasty

Dr. Homa Shahakbari

Dr. Homa Shahakbari

General & Cosmetic Dentistry

Dr arghavan Afshar

Dr arghavan Afshar

Pediatric

Dr. Marc Habib

Dr. Marc Habib

Endodontist specialist

Dr. Maryam Raoufi

Dr. Maryam Raoufi

Gynecology

Dr. Joy

Dr. Joy

General & Cosmetic Dentistry

Dr. Corentin Buron

Dr. Corentin Buron

Oral Surgeon, Implantologist

Dr. Marjan Sanjarian

Dr. Marjan Sanjarian

Orthodontist

Dr. Reza Shahakbari

Dr. Reza Shahakbari

Oral & Maxillofacial Surgery

Dr. Tamara AK

Dr. Tamara AK

General Dentist

Book An Appointment